Cabinet d'orthodontie du Docteur Luc HALB
Orthodontiste à Strasbourg
Cabinet d'orthodontie du Docteur Luc HALB
Orthodontiste à Strasbourg

65 rue Virgile
67200 STRASBOURG

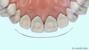
Fil de contention


video-play-icon

Articles similaires

Création par Webdentiste

Connexion